PEDIATRIC ORTHODONTICS
Provide your child with the best orthodontic care. We diagnose malocclusions in our youngest patients, offer advice on preventive measures, and implement effective treatment.
Regular orthodontic check-ups should commence around the age of 3 (unless an earlier consultation has been recommended). We specialize in preventive orthodontics, diagnosing malocclusions in children and adolescents, and early orthodontic treatment.
A correct bite in a young child is characterized by: 20 primary (milk) teeth aligned in even, semicircular arches that make proper contact with each other, maintaining the symmetry (midlines) of the upper and lower arches. There should be no spacing between the teeth of both arches, either in the anteroposterior (front-to-back) or vertical dimension.
Furthermore, if none of the following habits are observed:
nor any primary teeth affected by decay, we can be confident that no orthodontic intervention is necessary, and the next check-up can be scheduled in a year.

However, if a child has sucked a pacifier or thumb, or has been bottle-fed for longer than 1.5 years, an anterior open bite (a gap between the upper and lower front teeth) of even over 1 cm may be observed.
Often, simply ceasing the sucking habit is sufficient for the malocclusion to self-correct within a few months.
A simple appliance, known as a vestibular plate (or oral screen), can be helpful. Appropriately shaped by the orthodontist, it should be worn during the day for approximately 2 to 4 hours and at night during sleep. It is very simple to use and effective in treating malocclusions caused by detrimental oral habits in young children.
BOOK YOUR CHILD
for an orthodontic check-up or orthodontic treatment
In preventing the development of malocclusions, caries (tooth decay) prevention plays a crucial role. This includes:
Premature loss of primary (milk) teeth due to untreated caries can have serious consequences. Primarily, this includes underdevelopment of the alveolar process segment where the tooth is missing, or closure of the gap by adjacent teeth tilting or drifting into the space created by the lost tooth. Consequently, there will be insufficient space for the corresponding permanent tooth to erupt correctly. Furthermore, caries lesions can lead to: unilateral chewing (chewing on one side only), and a child's reluctance to bite or chew food, especially hard foods. This can lead to the development of a crossbite or a lateral mandibular shift.
Proper functional demand on the masticatory system, i.e., biting and chewing all types of food, especially those requiring effort, is fundamental for jaw development. Children who are reluctant to chew, and whose mothers “facilitate” eating by cutting off bread crusts or mashing apples, will certainly develop dental arches that are too narrow to accommodate all their teeth. It is possible that permanent teeth unable to find space in these narrow dental arches will require extraction in the future.
Young children with primary teeth, or those beginning the transition to permanent teeth, very rarely require treatment with formal orthodontic appliances.
Cessation of detrimental habits (such as thumb/finger sucking, pacifier use, lip/tongue sucking, bottle or breastfeeding beyond 1.5 years of age, nail biting, mouth breathing),
Consultation with an ENT (Ear, Nose, and Throat) specialist, if laryngological conditions are suspected as the cause of persistent mouth opening,
Visit to a dentist for the treatment of carious (decayed) teeth, removal of primary tooth remnants where a permanent tooth is erupting, or extraction of a primary tooth if it remains in the oral cavity longer than physiologically normal (a so-called over-retained primary tooth),
Visit to an oral surgery clinic/department, for example, to perform a frenectomy on an overly short upper lip or tongue frenulum,
Specific exercises, such as breathing exercises, mandibular retraction or protrusion exercises, lip strengthening exercises, or exercises for proper tongue positioning – depending on the type of malocclusion. It is crucial that all exercises are performed systematically, daily at consistent times, and mandatorily under adult supervision. Children must not be instructed to perform exercises independently,
Consultation with an orthopedist, as malocclusions are often associated with postural defects,
Consultation with a speech therapist (speech-language pathologist) to improve tongue function and correct speech impediments,
Use of a vestibular plate (oral screen) or exercises with a spatula,
Sometimes selective grinding (enameloplasty) of primary teeth is necessary in the absence of their physiological attrition (wear)
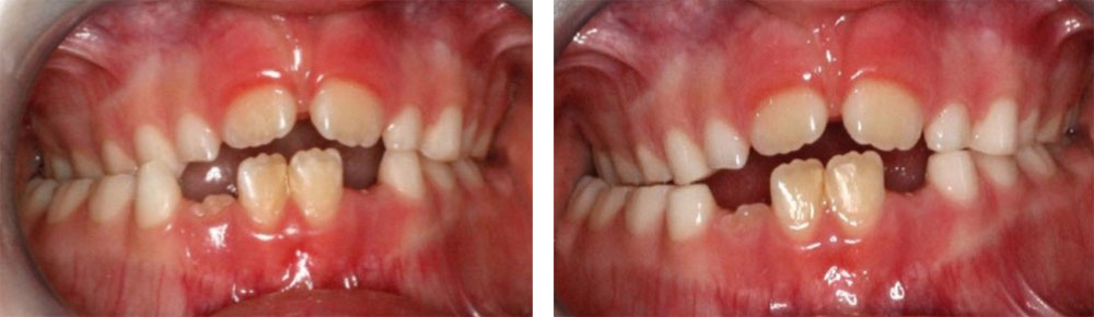
Simple methods also include the treatment of an anterior crossbite (reverse overjet) involving one or two teeth – particularly incisors. This can be achieved using a so-called acrylic inclined plane (or inclined bite plane), which can either be cemented onto the teeth (for approximately 2 weeks) or be a removable appliance. Before placement of the inclined plane, inclined plane, after removal of the inclined plane - 2 weeks from placement.
The loss of one or more primary (milk) teeth may necessitate the fabrication of a space maintainer, i.e., an appliance that is either worn for a specific number of hours per day or is fixed (permanently cemented). This device will prevent the closure of the gap left by the lost primary teeth and maintain space for the permanent teeth,
The loss of primary teeth can also be an indication for the fabrication of a pediatric denture, which not only maintains space for the permanent teeth but also improves the functions of chewing, biting, swallowing, and speech. Aesthetic considerations should also factor into the decision for its fabrication, especially if the missing teeth are in the anterior (front) segment.
During the period when primary (milk) teeth are being replaced by permanent teeth, orthodontic visits are advisable every 6, or even every 3 months. This is a crucial period, as previously unnoticed disorders may become more pronounced, and problems unknown until then may also become apparent. A relatively common such abnormality is the absence of permanent tooth buds. In children over 7, and most commonly around the ninth year of life, it is advisable to take a panoramic X-ray (orthopantomogram). This imaging will show whether all permanent tooth buds are present and if they are in the correct locations and positions. Systematic check-ups during the mixed dentition phase will allow for the timely correction of developing abnormalities and the differentiation between those of no significant consequence and those requiring intervention. Significant constriction of the upper dental arch may be an indication for early intervention involving the use of maxillary expansion appliances. These can be removable or fixed (permanently cemented) appliances. Crossbites involving a single tooth or groups of teeth are also treated early. It is important to distinguish a physiological diastema (normal spacing) from one caused, for example, by a mesiodens (an extra tooth in the midline). Knowing if, when, and which primary tooth should be extracted is knowledge that can significantly impact the development of a correct occlusion. Experience and attentiveness will enable the decision to either take action or to opt for vigilant observation.
We use cookies
We use cookies to make your experience on our websites better, as well as for statistical and advertising purposes. By not blocking these files, you consent to their use and storage on your device. Please remember that you can change your browser settings to block cookies at any time. For more information, please see our privacy policy.